
Consona N9
Mindray
Endless Possibilities
Consona N9 Ultrasound Machine
The Consona N9 Ultrasound System redefines excellence in image quality and ergonomics, establishing a new benchmark in the shared service environment. Tailored to address the needs of women’s health, radiology, and cardiovascular departments, it offers a comprehensive array of transducers, advanced features, and a scanning battery, maximizing performance beyond image quality – enhancing user and patient experience.
The Consona N9 System helps improve workflow by minimizing repetitive keystrokes and ensuring consistency between users. It is powered by Mindray’s revolutionary ZONE Sonography® Technology+ (ZST+), the industry’s first virtual beamforming architecture, creating a perfectly focused image with every pixel and frame.
Product Features
HD Scope
High Definition Scope
HD Scope is an advanced B-mode image processing technique that focuses additional imaging resources within a specific region of interest (ROI), analyzes the received channel data in unique ways, and applies various filtering and processing algorithms. This results in enhanced contrast resolution within the ROI based on the acoustic characteristics of varying tissue types.
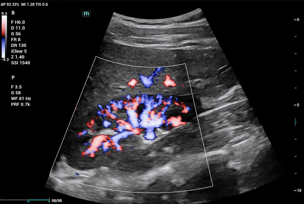
High Resolution Flow
HR Flow is an innovative microvascular technology that enhances visualization of tiny vessels and complex flow states. It aids in the detection of the presence or absence of blood flow in pathological organs.
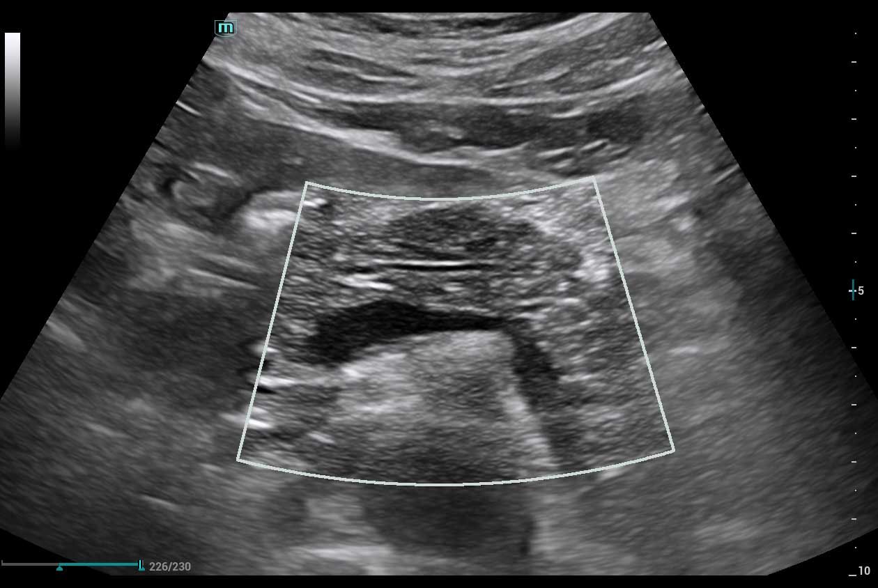
Automatic Plane Detection
Smart Planes provides a robust and user-friendly, AI-enabled solution to automatically detect anatomy and calculate standard measurements of the central nervous system(CNS) with one-touch.
Smart Pelvic
Pelvic Floor Measurements
Enables users to quickly obtain 2D/3D automated GYN measurements of the pelvic floor by setting up a baseline and tracing the border of Levator Hiatus automatically.
Peace of Mind Protection The Industry’s Best Investment Protection and Total Cost of Ownership
System Warranty
The Consona N9 Ultrasound System comes with an industry-leading 5-year warranty* and includes coverage on system and parts, standard transducers, and on-site labor for cart repairs.
Living Technology™
Living Technology™ is a continually evolving software-based approach to providing our customers with easily upgradeable enhancements made possible by our core imaging technologies. These upgrades secure product investment protection by ensuring that Mindray Ultrasound Systems remain at the cutting-edge of imaging performance throughout their entire life cycle.
* Standard 5 year warranty is available for systems purchased directly from Mindray North America. Warranties for systems purchased from Mindray authorized agents can vary.
Disclaimer
Specifications
Documentation
Product Video
FAQS
Frequently Asked Questions
Coming Soon
Coming Soon
Coming Soon
Coming Soon
Coming Soon
Coming Soon









