
Imagyn I9T
Mindray
Ultrasound Elevated
Ultrasound Imaging for Women's Health - Imagyn I9
Breaking the mold of conventional ultrasound systems and bring usability and ergonomics into the limelight, the Imagyn I9 Ultrasound System provides an entirely new experience driven by innovation. The system features innovate design elements such as an intelligent iConsole control panel, customizable E-Ink keys, and a fully free-floating user interface to help minimize fatigue during scans. The Imagyn I9 Ultrasound System features a modular design for convenient serviceability, a two-hour continuous scanning battery, and a quiet operating experience.
Powered by Mindray’s revolutionary ZONE Sonography (R) Technology+, the Imagyn I9 System boasts advanced ultrasound capabilities and leverages AI-inechanged technologies. The Imagyn I9 starts the process using auto clinical scenario identification, and uses automation at every point, from imaging optimization to planes scenario identification, and uses automation at every point, from imaging optimization to planes acquisition, quantification, and creating an automated workflow. The Imagyn I9 System provides a full-stack smart solution for efficient women’s health, covering wide-ranging applications from pre-pregnancy to obstetric to post-partum.
Product Features
Smart Pelvic Pelvic Floor Measurements
Enables users to quickly obtain 2D/3D automated GYN measurements of the pelvic floor by setting up a baseline and tracing the border of Levator Hiatus automatically.
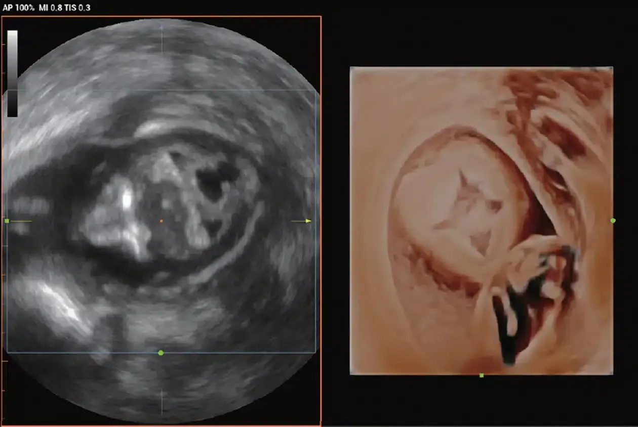
Provides one-touch intelligent optimization of a fetal face and enhances workflow by automatically removing obstructions anterior to the fetal face, decreasing operator dependence and exam time.
Provides a robust and user-friendly AI-enabled solution to automatically detect anatomy and calculate standard measurements of the central nervous system(CNS) with one-touch.
Smart ICV
Automated Intra-cranial Volume
Enables auto fetal brain segmentation and realizes fully automatic measurement for fetal intra-cranial volume studies. With minimum user manipulation, Smart ICV offers extremely smart and efficient measurements with greater reproducibility.
Innovative Ergonomics
At Mindray, we are continually pushing towards our vision of better healthcare for all. With the Imagyn I9 System, this comes in the form of meaningful ergonomic enhancements and changes that prioritize sonographers’ well-being. Featuring an intuitive, customizable gesture-powered touchscreen, a fully-adjustable floating control panel, and elevated transducer ports, the Imagyn I9 System enables intuitive and efficient workflow.
Disclaimer
Coming Soon
Specifications
- 23.8” LED monitor with high-resolution display
- 15.6” HD intuitive touchscreen with fully-adjustable floating control panel
- Battery supports up to 2-hours continuous scanning
- Elevated transducer ports for comfortable connecting
- Dual-screen for simultaneous display
Documentation
Product Video
FAQS
Frequently Asked Questions
Coming Soon
Coming Soon
Coming Soon
Coming Soon
Coming Soon
Coming Soon










